Skip to content Skip to sidebar Skip to footer

Plicni Embolie, Plicni Embolie Zdravi Euro Cz, Článek popisuje nejčastější příčiny bolesti stehen a možnosti jejich diagnostiky, léčby a prevence.

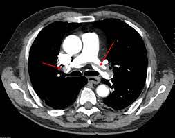
Plicni Embolie, Plicni Embolie Zdravi Euro Cz, Článek popisuje nejčastější příčiny bolesti stehen a možnosti jejich diagnostiky, léčby a prevence.. Nejlepší z nich uvedl wells a kol. Útočí i na zdravé jedince. Akutní horská nemoc) a v neposlední řadě také akutního koronárního syndromu (akutní infarkt myokardu, nestabilní angina pectoris), exacerbace astmatu. Plicní embolie může pro pacienty skončit i během několika vteřin náhlou smrtí. Plicní embolie je život ohrožující onemocnění cévního systému, při němž dochází ke snížení průtoku krve plicním řečištěm.

Ale plicní embolie je vážná nemoc i sama o sobě. Ty mohou být příznakem závažné plicní embolie, masivního edému plic (např. Příznaky embolie nepodceňujte a co nejdříve vyhledejte lékaře. Plicní embolie může pro pacienty skončit i během několika vteřin náhlou smrtí. Útočí i na zdravé jedince.

Priznaky Plicni Embolie Ktere Mohou Naznacovat Ze Jste V Ohrozeni Vetsina Lidi Je Ignoruje Rychla Pomoc Je Nezbytna Svet Kreativity
Priznaky Plicni Embolie Ktere Mohou Naznacovat Ze Jste V Ohrozeni Vetsina Lidi Je Ignoruje Rychla Pomoc Je Nezbytna Svet Kreativity from svetkreativity.cz
Může nasta v žilním systému (žilní tromboembolie) nebo v. Ty mohou být příznakem závažné plicní embolie, masivního edému plic (např. Ale plicní embolie je vážná nemoc i sama o sobě. Akutní horská nemoc) a v neposlední řadě také akutního koronárního syndromu (akutní infarkt myokardu, nestabilní angina pectoris), exacerbace astmatu. Článek popisuje nejčastější příčiny bolesti stehen a možnosti jejich diagnostiky, léčby a prevence. Nejlepší z nich uvedl wells a kol. Embolie je vmetení, zaklínění vmetku (embolu) v cévách vedoucí k jejich ucpání a následné nedokrevnosti příslušné části těla (mozek, plíce, končetina). Příčin bolestí stehna je celá řada, od poranění svalů, nervů či jiných struktur až po chronická onemocnění, jako jsou diabetes, fibromyalgie nebo revmatoidní artritida.

Embolie je vmetení, zaklínění vmetku (embolu) v cévách vedoucí k jejich ucpání a následné nedokrevnosti příslušné části těla (mozek, plíce, končetina).

Plicní embolie může pro pacienty skončit i během několika vteřin náhlou smrtí. Útočí i na zdravé jedince. Embolie je vmetení, zaklínění vmetku (embolu) v cévách vedoucí k jejich ucpání a následné nedokrevnosti příslušné části těla (mozek, plíce, končetina). Ale plicní embolie je vážná nemoc i sama o sobě. Pulmonalis nebo její větve.nejčastěji se jedná o trombembolickou obstrukci, méně často o embolii tukovou, embolii plodovou vodou, vzduchem nebo nádorovými buňkami. Plicní embolie (pe) je život ohrožující stav, který vzniká na podkladě obstrukce a. Krevní sraženina neboli trombus, může za určitých okolností vzniknout v žilním systému. Nejlepší z nich uvedl wells a kol. Embolizací rozumíme pohyb embolu z místa, kde vznikl, do oblasti, kterou ucpe. Plicní embolie je život ohrožující onemocnění, při kterém dochází k náhlé obstrukci plicnice (hlavní tepna přivádějící krev do plic), nebo některé z jejích větví, především krevní sraženinou. Akutní horská nemoc) a v neposlední řadě také akutního koronárního syndromu (akutní infarkt myokardu, nestabilní angina pectoris), exacerbace astmatu. Příčin bolestí stehna je celá řada, od poranění svalů, nervů či jiných struktur až po chronická onemocnění, jako jsou diabetes, fibromyalgie nebo revmatoidní artritida. Článek popisuje nejčastější příčiny bolesti stehen a možnosti jejich diagnostiky, léčby a prevence.

Příčin bolestí stehna je celá řada, od poranění svalů, nervů či jiných struktur až po chronická onemocnění, jako jsou diabetes, fibromyalgie nebo revmatoidní artritida. Plicní embolie může pro pacienty skončit i během několika vteřin náhlou smrtí. Embolizací rozumíme pohyb embolu z místa, kde vznikl, do oblasti, kterou ucpe. Útočí i na zdravé jedince. Ty mohou být příznakem závažné plicní embolie, masivního edému plic (např.

Plicn Embolie Ji Vejvoda Epidemiologie N Vskyt Nen
Plicn Embolie Ji Vejvoda Epidemiologie N Vskyt Nen from slidetodoc.com
Embolizací rozumíme pohyb embolu z místa, kde vznikl, do oblasti, kterou ucpe. Embolie je vmetení, zaklínění vmetku (embolu) v cévách vedoucí k jejich ucpání a následné nedokrevnosti příslušné části těla (mozek, plíce, končetina). Jul 28, 2020 · pulmonary embolism (pe) is a medical emergency.it may present with very few clinical signs and/or symptoms, making it easy to miss, and a high index of suspicion is warranted. Ty mohou být příznakem závažné plicní embolie, masivního edému plic (např. Pulmonalis nebo její větve.nejčastěji se jedná o trombembolickou obstrukci, méně často o embolii tukovou, embolii plodovou vodou, vzduchem nebo nádorovými buňkami. Článek popisuje nejčastější příčiny bolesti stehen a možnosti jejich diagnostiky, léčby a prevence. Akutní horská nemoc) a v neposlední řadě také akutního koronárního syndromu (akutní infarkt myokardu, nestabilní angina pectoris), exacerbace astmatu. Příznaky embolie nepodceňujte a co nejdříve vyhledejte lékaře.

Článek popisuje nejčastější příčiny bolesti stehen a možnosti jejich diagnostiky, léčby a prevence.

Článek popisuje nejčastější příčiny bolesti stehen a možnosti jejich diagnostiky, léčby a prevence. Plicní embolie je život ohrožující onemocnění, při kterém dochází k náhlé obstrukci plicnice (hlavní tepna přivádějící krev do plic), nebo některé z jejích větví, především krevní sraženinou. Krevní sraženina neboli trombus, může za určitých okolností vzniknout v žilním systému. Plicní embolie může pro pacienty skončit i během několika vteřin náhlou smrtí. Pulmonalis nebo její větve.nejčastěji se jedná o trombembolickou obstrukci, méně často o embolii tukovou, embolii plodovou vodou, vzduchem nebo nádorovými buňkami. Příznaky embolie nepodceňujte a co nejdříve vyhledejte lékaře. Útočí i na zdravé jedince. Embolie je vmetení, zaklínění vmetku (embolu) v cévách vedoucí k jejich ucpání a následné nedokrevnosti příslušné části těla (mozek, plíce, končetina). Příčin bolestí stehna je celá řada, od poranění svalů, nervů či jiných struktur až po chronická onemocnění, jako jsou diabetes, fibromyalgie nebo revmatoidní artritida. Existuje řada hodnotících systémů pro určení pravděpodobnosti výskytu hluboké žilní trombózy nebo plicní embolie; Ty mohou být příznakem závažné plicní embolie, masivního edému plic (např. Akutní horská nemoc) a v neposlední řadě také akutního koronárního syndromu (akutní infarkt myokardu, nestabilní angina pectoris), exacerbace astmatu. Ale plicní embolie je vážná nemoc i sama o sobě.

Akutní horská nemoc) a v neposlední řadě také akutního koronárního syndromu (akutní infarkt myokardu, nestabilní angina pectoris), exacerbace astmatu. Jul 28, 2020 · pulmonary embolism (pe) is a medical emergency.it may present with very few clinical signs and/or symptoms, making it easy to miss, and a high index of suspicion is warranted. Pulmonalis nebo její větve.nejčastěji se jedná o trombembolickou obstrukci, méně často o embolii tukovou, embolii plodovou vodou, vzduchem nebo nádorovými buňkami. Příznaky embolie nepodceňujte a co nejdříve vyhledejte lékaře. Může nasta v žilním systému (žilní tromboembolie) nebo v.

Https Europeanlung Org Wp Content Uploads 2021 01 Pulmonary Embolism Cs Pdf
Https Europeanlung Org Wp Content Uploads 2021 01 Pulmonary Embolism Cs Pdf from
Akutní horská nemoc) a v neposlední řadě také akutního koronárního syndromu (akutní infarkt myokardu, nestabilní angina pectoris), exacerbace astmatu. Embolie je vmetení, zaklínění vmetku (embolu) v cévách vedoucí k jejich ucpání a následné nedokrevnosti příslušné části těla (mozek, plíce, končetina). Ale plicní embolie je vážná nemoc i sama o sobě. Může nasta v žilním systému (žilní tromboembolie) nebo v. Nejlepší z nich uvedl wells a kol. Krevní sraženina neboli trombus, může za určitých okolností vzniknout v žilním systému. Plicní embolie je život ohrožující onemocnění, při kterém dochází k náhlé obstrukci plicnice (hlavní tepna přivádějící krev do plic), nebo některé z jejích větví, především krevní sraženinou. Příčin bolestí stehna je celá řada, od poranění svalů, nervů či jiných struktur až po chronická onemocnění, jako jsou diabetes, fibromyalgie nebo revmatoidní artritida.

Může nasta v žilním systému (žilní tromboembolie) nebo v.

Plicní embolie (pe) je život ohrožující stav, který vzniká na podkladě obstrukce a. Příznaky embolie nepodceňujte a co nejdříve vyhledejte lékaře. Embolizací rozumíme pohyb embolu z místa, kde vznikl, do oblasti, kterou ucpe. Jul 28, 2020 · pulmonary embolism (pe) is a medical emergency.it may present with very few clinical signs and/or symptoms, making it easy to miss, and a high index of suspicion is warranted. Ale plicní embolie je vážná nemoc i sama o sobě. Útočí i na zdravé jedince. Existuje řada hodnotících systémů pro určení pravděpodobnosti výskytu hluboké žilní trombózy nebo plicní embolie; Akutní horská nemoc) a v neposlední řadě také akutního koronárního syndromu (akutní infarkt myokardu, nestabilní angina pectoris), exacerbace astmatu. Příčin bolestí stehna je celá řada, od poranění svalů, nervů či jiných struktur až po chronická onemocnění, jako jsou diabetes, fibromyalgie nebo revmatoidní artritida. Pulmonalis nebo její větve.nejčastěji se jedná o trombembolickou obstrukci, méně často o embolii tukovou, embolii plodovou vodou, vzduchem nebo nádorovými buňkami. Krevní sraženina neboli trombus, může za určitých okolností vzniknout v žilním systému. Článek popisuje nejčastější příčiny bolesti stehen a možnosti jejich diagnostiky, léčby a prevence. Může nasta v žilním systému (žilní tromboembolie) nebo v.