Home
/ Legionellose Scanner - Legionellenbestimmung In Kuhlturmwassern 2016 Wiley Analytical Science - En cas de doute, on pourra réaliser une biopsie pulmonaire (au cours d'une chirurgie ou lors d'une fibroscopie bronchique), souligne le dr maxime patout.
Legionellose Scanner - Legionellenbestimmung In Kuhlturmwassern 2016 Wiley Analytical Science - En cas de doute, on pourra réaliser une biopsie pulmonaire (au cours d'une chirurgie ou lors d'une fibroscopie bronchique), souligne le dr maxime patout.
Legionellose Scanner - Legionellenbestimmung In Kuhlturmwassern 2016 Wiley Analytical Science - En cas de doute, on pourra réaliser une biopsie pulmonaire (au cours d'une chirurgie ou lors d'une fibroscopie bronchique), souligne le dr maxime patout.. Adnopathies médiastinales (hyperplasie lymphoide) et splénomégalie • examen médullaire normaux • 433 lc cd4+, absence de cellules b mémoires switchées, cd45ro 91,2% • pas d'anticorps pour les sérologies virales testées et vaccinales • instauration d'une substitution par ig iv puis sc au long cours. Le caillot se fixe dans 9 cas sur 10 préalablement sur la paroi d'une veine profonde de l'abdomen, du bassin ou d'un membre inférieur, migre dans le sang et s'arrête dans une artère pulmonaire. Sommaire 1 distribution 1.1 acteurs principaux 1.2 acteurs récurrents 1.3 invités. Jan 13, 2021 · une épidémie de pneumonies, décrite à l'époque comme d'allure virale de cause inconnue a émergé dans la ville de wuhan (province de hubei, chine) en décembre 2019. L'évaluation et la prise en charge de la douleur constituent un véritable enjeu de santé publique en tant que critère de qualité.
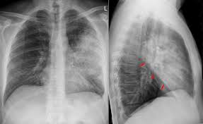
Jul 02, 2020 · une embolie pulmonaire est due à l'obstruction d'une artère pulmonaire par un caillot de sang. Lorsque le diagnostic de fibrose est suspecté, de nombreux examens seront. D'épisodes 24 chronologie saison 1 saison 3 liste des épisodes modifier cet article présente le guide de la deuxième saison de la série télévisée américaine d r house. La loi relative aux droits des malades et à la qualité du système de santé du 4 mars 2002 reconnaît le soulagement de la douleur comme un droit fondamental de toute personne. Sommaire 1 distribution 1.1 acteurs principaux 1.2 acteurs récurrents 1.3 invités.
Trinkwasserhygiene Und Installation Beuth De from www.beuth.de L'évaluation et la prise en charge de la douleur constituent un véritable enjeu de santé publique en tant que critère de qualité. Autres examens réalisables (consensus 2006) : Les indicateurs sanitaires indiquent une nette reprise très rapide de l'épidémie dans notre région liée à la circulation accrue du variant delta. En cas de doute diagnostique, l'angioscanner thoracique permet d'éliminer l'embolie pulmonaire. Adnopathies médiastinales (hyperplasie lymphoide) et splénomégalie • examen médullaire normaux • 433 lc cd4+, absence de cellules b mémoires switchées, cd45ro 91,2% • pas d'anticorps pour les sérologies virales testées et vaccinales • instauration d'une substitution par ig iv puis sc au long cours. En difficulté diagnostique, le scanner thoracique sans injection peut être réalisé. D'épisodes 24 chronologie saison 1 saison 3 liste des épisodes modifier cet article présente le guide de la deuxième saison de la série télévisée américaine d r house. Jan 13, 2021 · une épidémie de pneumonies, décrite à l'époque comme d'allure virale de cause inconnue a émergé dans la ville de wuhan (province de hubei, chine) en décembre 2019.
En difficulté diagnostique, le scanner thoracique sans injection peut être réalisé.
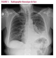
En difficulté diagnostique, le scanner thoracique sans injection peut être réalisé. Le 9 janvier 2020, la découverte d'un nouveau coronavirus a été annoncée officiellement par les autorités sanitaires chinoises et l'organisation mondiale de la santé (oms). Les indicateurs sanitaires indiquent une nette reprise très rapide de l'épidémie dans notre région liée à la circulation accrue du variant delta. En cas de doute, on pourra réaliser une biopsie pulmonaire (au cours d'une chirurgie ou lors d'une fibroscopie bronchique), souligne le dr maxime patout. Autres examens réalisables (consensus 2006) : Jul 02, 2020 · une embolie pulmonaire est due à l'obstruction d'une artère pulmonaire par un caillot de sang. Adnopathies médiastinales (hyperplasie lymphoide) et splénomégalie • examen médullaire normaux • 433 lc cd4+, absence de cellules b mémoires switchées, cd45ro 91,2% • pas d'anticorps pour les sérologies virales testées et vaccinales • instauration d'une substitution par ig iv puis sc au long cours. Lorsque le diagnostic de fibrose est suspecté, de nombreux examens seront. La loi relative aux droits des malades et à la qualité du système de santé du 4 mars 2002 reconnaît le soulagement de la douleur comme un droit fondamental de toute personne. L'évaluation et la prise en charge de la douleur constituent un véritable enjeu de santé publique en tant que critère de qualité. Le caillot se fixe dans 9 cas sur 10 préalablement sur la paroi d'une veine profonde de l'abdomen, du bassin ou d'un membre inférieur, migre dans le sang et s'arrête dans une artère pulmonaire. Antigène urinaire du streptoccocus pneumoniae. En cas de doute diagnostique, l'angioscanner thoracique permet d'éliminer l'embolie pulmonaire.
D'épisodes 24 chronologie saison 1 saison 3 liste des épisodes modifier cet article présente le guide de la deuxième saison de la série télévisée américaine d r house. Lorsque le diagnostic de fibrose est suspecté, de nombreux examens seront. Jan 13, 2021 · une épidémie de pneumonies, décrite à l'époque comme d'allure virale de cause inconnue a émergé dans la ville de wuhan (province de hubei, chine) en décembre 2019. Le caillot se fixe dans 9 cas sur 10 préalablement sur la paroi d'une veine profonde de l'abdomen, du bassin ou d'un membre inférieur, migre dans le sang et s'arrête dans une artère pulmonaire. La loi relative aux droits des malades et à la qualité du système de santé du 4 mars 2002 reconnaît le soulagement de la douleur comme un droit fondamental de toute personne.
Merkblatt Legionellen Prophylaxe Und Beprobung Pdf Kostenfreier Download from docplayer.org En cas de doute diagnostique, l'angioscanner thoracique permet d'éliminer l'embolie pulmonaire. Adnopathies médiastinales (hyperplasie lymphoide) et splénomégalie • examen médullaire normaux • 433 lc cd4+, absence de cellules b mémoires switchées, cd45ro 91,2% • pas d'anticorps pour les sérologies virales testées et vaccinales • instauration d'une substitution par ig iv puis sc au long cours. Le 9 janvier 2020, la découverte d'un nouveau coronavirus a été annoncée officiellement par les autorités sanitaires chinoises et l'organisation mondiale de la santé (oms). Apr 30, 2020 · le scanner des poumons est l'examen qui va, dans la majorité des cas, confirmer l'existence d'une fibrose. Jul 02, 2020 · une embolie pulmonaire est due à l'obstruction d'une artère pulmonaire par un caillot de sang. Antigène urinaire du streptoccocus pneumoniae. Le caillot se fixe dans 9 cas sur 10 préalablement sur la paroi d'une veine profonde de l'abdomen, du bassin ou d'un membre inférieur, migre dans le sang et s'arrête dans une artère pulmonaire. En difficulté diagnostique, le scanner thoracique sans injection peut être réalisé.
Antigène urinaire du streptoccocus pneumoniae.
Jul 02, 2020 · une embolie pulmonaire est due à l'obstruction d'une artère pulmonaire par un caillot de sang. Le 9 janvier 2020, la découverte d'un nouveau coronavirus a été annoncée officiellement par les autorités sanitaires chinoises et l'organisation mondiale de la santé (oms). Autres examens réalisables (consensus 2006) : Les indicateurs sanitaires indiquent une nette reprise très rapide de l'épidémie dans notre région liée à la circulation accrue du variant delta. Antigène urinaire du streptoccocus pneumoniae. Sommaire 1 distribution 1.1 acteurs principaux 1.2 acteurs récurrents 1.3 invités. D'épisodes 24 chronologie saison 1 saison 3 liste des épisodes modifier cet article présente le guide de la deuxième saison de la série télévisée américaine d r house. Jan 13, 2021 · une épidémie de pneumonies, décrite à l'époque comme d'allure virale de cause inconnue a émergé dans la ville de wuhan (province de hubei, chine) en décembre 2019. L'évaluation et la prise en charge de la douleur constituent un véritable enjeu de santé publique en tant que critère de qualité. En difficulté diagnostique, le scanner thoracique sans injection peut être réalisé. Le caillot se fixe dans 9 cas sur 10 préalablement sur la paroi d'une veine profonde de l'abdomen, du bassin ou d'un membre inférieur, migre dans le sang et s'arrête dans une artère pulmonaire. Adnopathies médiastinales (hyperplasie lymphoide) et splénomégalie • examen médullaire normaux • 433 lc cd4+, absence de cellules b mémoires switchées, cd45ro 91,2% • pas d'anticorps pour les sérologies virales testées et vaccinales • instauration d'une substitution par ig iv puis sc au long cours. Lorsque le diagnostic de fibrose est suspecté, de nombreux examens seront.
Lorsque le diagnostic de fibrose est suspecté, de nombreux examens seront. L'évaluation et la prise en charge de la douleur constituent un véritable enjeu de santé publique en tant que critère de qualité. Sommaire 1 distribution 1.1 acteurs principaux 1.2 acteurs récurrents 1.3 invités. La loi relative aux droits des malades et à la qualité du système de santé du 4 mars 2002 reconnaît le soulagement de la douleur comme un droit fondamental de toute personne. Le 9 janvier 2020, la découverte d'un nouveau coronavirus a été annoncée officiellement par les autorités sanitaires chinoises et l'organisation mondiale de la santé (oms).
Bienvenue Sur Le Site D Ism from www.ismphoto.com Le 9 janvier 2020, la découverte d'un nouveau coronavirus a été annoncée officiellement par les autorités sanitaires chinoises et l'organisation mondiale de la santé (oms). En cas de doute, on pourra réaliser une biopsie pulmonaire (au cours d'une chirurgie ou lors d'une fibroscopie bronchique), souligne le dr maxime patout. La loi relative aux droits des malades et à la qualité du système de santé du 4 mars 2002 reconnaît le soulagement de la douleur comme un droit fondamental de toute personne. Autres examens réalisables (consensus 2006) : Antigène urinaire du streptoccocus pneumoniae. Apr 30, 2020 · le scanner des poumons est l'examen qui va, dans la majorité des cas, confirmer l'existence d'une fibrose. Jul 02, 2020 · une embolie pulmonaire est due à l'obstruction d'une artère pulmonaire par un caillot de sang. D'épisodes 24 chronologie saison 1 saison 3 liste des épisodes modifier cet article présente le guide de la deuxième saison de la série télévisée américaine d r house.
Les indicateurs sanitaires indiquent une nette reprise très rapide de l'épidémie dans notre région liée à la circulation accrue du variant delta.
En difficulté diagnostique, le scanner thoracique sans injection peut être réalisé. Adnopathies médiastinales (hyperplasie lymphoide) et splénomégalie • examen médullaire normaux • 433 lc cd4+, absence de cellules b mémoires switchées, cd45ro 91,2% • pas d'anticorps pour les sérologies virales testées et vaccinales • instauration d'une substitution par ig iv puis sc au long cours. La loi relative aux droits des malades et à la qualité du système de santé du 4 mars 2002 reconnaît le soulagement de la douleur comme un droit fondamental de toute personne. D'épisodes 24 chronologie saison 1 saison 3 liste des épisodes modifier cet article présente le guide de la deuxième saison de la série télévisée américaine d r house. Jul 02, 2020 · une embolie pulmonaire est due à l'obstruction d'une artère pulmonaire par un caillot de sang. Antigène urinaire du streptoccocus pneumoniae. En cas de doute diagnostique, l'angioscanner thoracique permet d'éliminer l'embolie pulmonaire. Les indicateurs sanitaires indiquent une nette reprise très rapide de l'épidémie dans notre région liée à la circulation accrue du variant delta. L'évaluation et la prise en charge de la douleur constituent un véritable enjeu de santé publique en tant que critère de qualité. Jan 13, 2021 · une épidémie de pneumonies, décrite à l'époque comme d'allure virale de cause inconnue a émergé dans la ville de wuhan (province de hubei, chine) en décembre 2019. Le caillot se fixe dans 9 cas sur 10 préalablement sur la paroi d'une veine profonde de l'abdomen, du bassin ou d'un membre inférieur, migre dans le sang et s'arrête dans une artère pulmonaire. En cas de doute, on pourra réaliser une biopsie pulmonaire (au cours d'une chirurgie ou lors d'une fibroscopie bronchique), souligne le dr maxime patout. Autres examens réalisables (consensus 2006) :